Remove tartar, prevent gum disease, and keep your smile looking its best with expert dental cleaning from our experienced hygiene team.
Professional dental cleaning (prophylaxis) is a thorough removal of plaque, tartar, and stains from your teeth and below the gum line — performed with precision instruments your toothbrush simply cannot replicate.
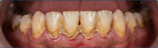
Over time, plaque hardens into calculus (tartar) — a mineralised deposit that bonds to enamel and can only be removed clinically. Left untreated, it is the leading cause of gum disease, bad breath, and eventually tooth loss.
Every appointment follows a precise, evidence-based protocol. Here's exactly what to expect — zero surprises.
A thorough check of your teeth and gums — identifying any signs of gingivitis, cavities, or other issues before we begin.
A high-frequency scaler breaks apart and removes hardened calculus above and below the gum line — gently flushed with water simultaneously.
Precision curettes clear residual deposits in tight interdental spaces and deep pockets, leaving surfaces perfectly smooth.
A rotating rubber cup with prophy paste buffs every surface — removing stains and leaving teeth visibly smoother and brighter.
Expert interproximal flossing removes any remaining debris and checks for hidden bleeding or sensitivity between teeth.
A professional-grade fluoride application strengthens enamel, followed by personalised home-care coaching for your specific needs.
Different conditions call for different levels of care. Our dentist recommends the right approach after examining you.
The standard 6-monthly clean for patients with generally healthy teeth and gums. Removes plaque, light tartar, and surface stains above and just below the gum line. Fast, comfortable, highly preventive.
For patients with moderate to advanced periodontitis. Goes deeper below the gum line to remove calculus from root surfaces. Done over 2–4 visits with local anaesthetic.
For patients previously treated for gum disease. More frequent monitoring with deeper cleaning to keep the condition controlled and prevent relapse — includes pocket depth assessment.
Real outcomes from patients treated at Lumina Dental Nyeri — brighter, healthier smiles transformed in a single visit.
Before
After
Before
After
Book your professional dental cleaning today. Our team will have your teeth spotlessly clean and your confidence at its highest — all in one comfortable, efficient visit.
Don't see your plan? Contact us — we verify your cover before your visit at no cost.